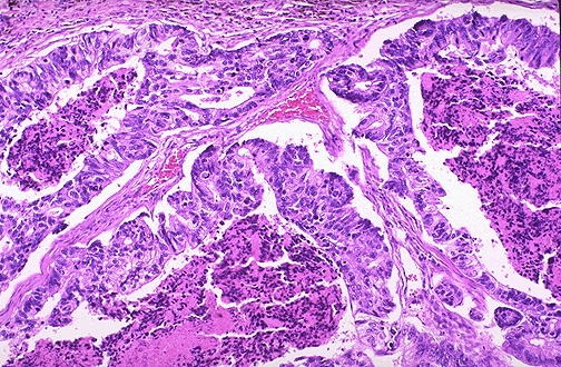
Here is an adenocarcinoma in which the glands are much larger and filled with necrotic debris.