
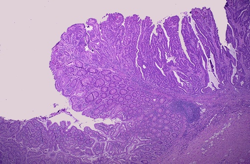
| The edge of the carcinoma arising in the villous adenoma is seen here. The neoplastic glands are long and frond-like, similar to those seen in a villous adenoma. The growth is primarily exophytic (outward into the lumen) and invasion is not seen at this point. Grading and staging of the tumor is done by the surgical pathologist who will examine multiple histologic sections of the tumor. |
![]() |