
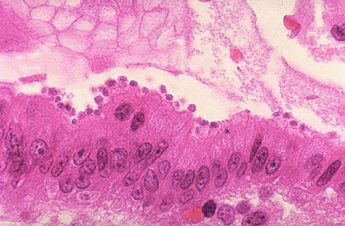
| This is another infectious agent that is becoming more frequent in immunocompromised patients, particularly those with AIDS. The small round blue organisms at the lumenal border are Cryptosporidium parvum. Cryptosporidiosis produces a copious watery diarrhea. |
![]() |