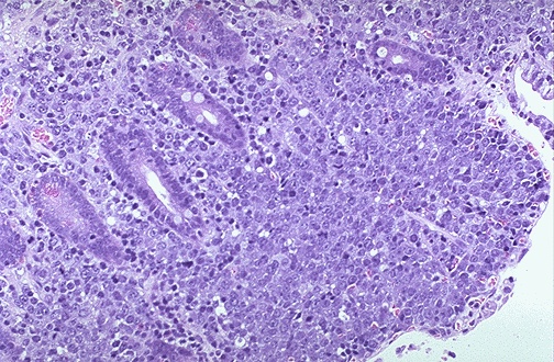
The large blue non-Hodgkin lymphoma cells can be seen infiltrating through the mucosa.