
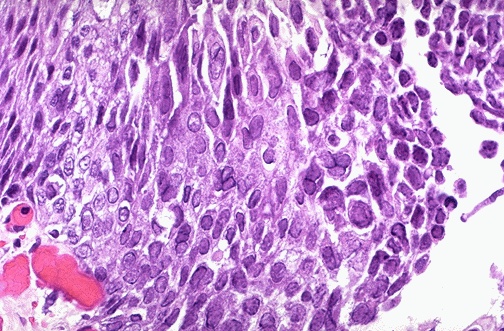
| At high magnification, the squamous mucosa at the margin of the herpetic ulcer shows pale pink "ground glass" inclusions within squamous epithelial cells. Some of the inclusions are clustered together--multinucleation is another common viral cytopathic effect, as seen below. Herpesviruses are DNA viruses, with viral proliferation in the host cell nucleus. |
![]() |