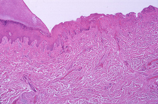
The viable skin at the left merges with an area of full thickness thermal burn injury without any viable epithelium either on the surface or in dermal appendages. The patient would require a skin graft to this area for recovery.