
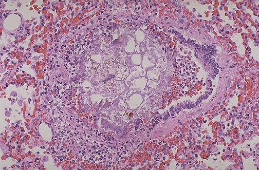
| Drowning may not produce extensive findings. In fact, in 10 to 15% of cases, intense laryngospasm may even prevent water from entering the lungs. In the case shown here, a child drowned in a fresh water canal, and some of the plant material in the water was aspirated into a bronchus. |
![]() |