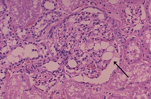
The capillary loops of this glomerulus contain fat globules in a patient with fat embolism syndrome.