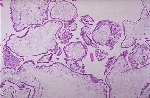
Histologically, the hydatidiform mole has
large avascular villi
and areas of
trophoblastic proliferation
. Of course, ultrasound confirms the diagnosis before currettage is done to evacuate this tissue seen here.