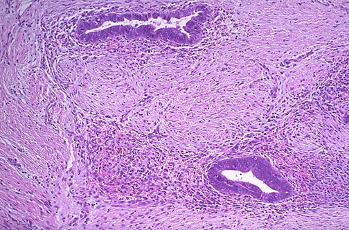
Endometrial glands and stroma are seen at high magnification in the wall of the colon. Endometriosis is symptomatic during reproductive years when patients may present with dysmenorrhea, pelvic pain, and infertility.