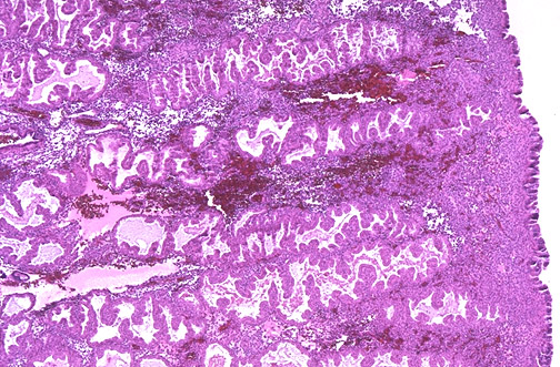
The late secretory endometrium has prominent pink secretions in the glands. Implantation has not occurred, and there is beginning stromal hemorrhage and increasing leukocyte infiltration just prior to menstruation.