
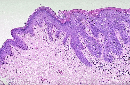
| Dysplasia may also involve the vulvar epithelium, seen here at the right with overlying hyperkeratosis (producing an area of leukoplakia), with more normal (but atrophic) keratinizing squamous epithelium at the left. Most cases of vulvar intraepithelial neoplasia (VIN) do not progress to invasive cancer. Many are multicentric, and some occur in association with cervical or vaginal carcinoma. |
![]() |