
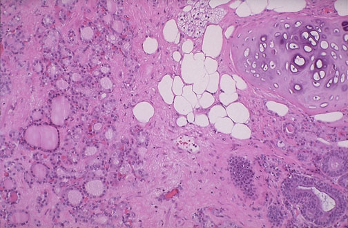
| Microscopically, this teratoma is seen to have cartilage, adipose tissue, and intestinal glands at the right, while at the left are a lot of thyroid follicles. The presence of abundant thyroid tissue within a mature teratoma can be termed struma ovarii. Rarely, a struma ovarii can even be a cause for hyperthyroidism. |
![]() |