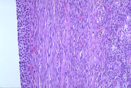
This is a benign theca lutein cyst in an ovary. Note the luteinized cells forming the inner cyst lining at the left, with adjacent surrounding theca cells. These cysts are rarely more than a few centimeters in diameter.