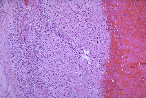
Here is the microscopic apperance of a hemorrhagic corpus luteum lined by luteinized granulosa cells next to the hemorrhagic area at the right.