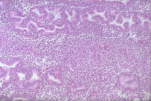
This is mid secretory endometrium with prominent predecidual reaction around prominent spiral arterioles.