
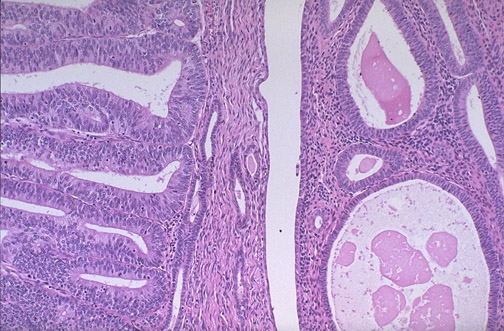
| The endometrial adenocarcinoma in the polyp at the left is moderately differentiated, as a glandular structure can still be discerned. Note the hyperchromatism and pleomorphism of the cells, compared to the underlying endometrium with cystic atrophy at the right. |
![]() |