
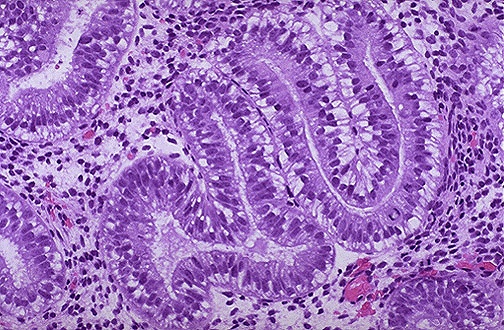
| Here is early secretory endometrium. The appearance with prominent subnuclear vacuoles in cells forming the glands is consistent with post-ovulatory day 2. The histologic changes following ovulation are quite constant over the 14 days from ovulation to menstruation and can be utilized to date the endometrium. |
![]() |