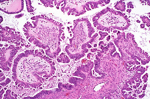
Here is a serous cystadenocarcinoma in which there is more pronounced papillary growth with more hyperchromatic cells.