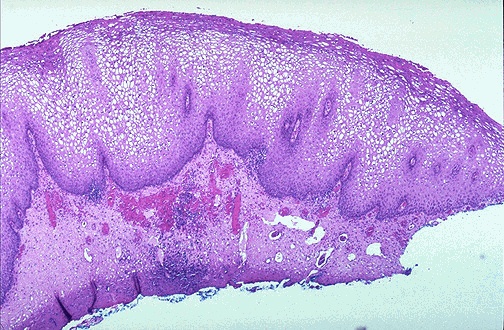
This cervical biopsy demonstrates a thickened squamous epithelium and the squamous cells have a vacuolated appearance. This is koilocytotic change. A condyloma accuminatum would have a similar appearance.