
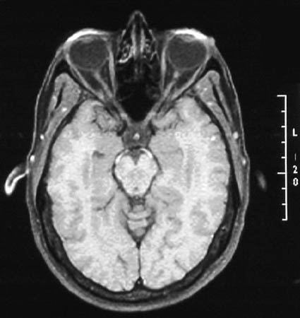
| The location of the optic nerves extending to the optic chiasm is shown in the MRI scan above. Normal optic nerve in cross section is shown below. Note the surrounding layer of dense connective tissue, or optic nerve sheath, which is essentially an extension of dura from cranial cavity. |
![]() |
[Image contributed by Nick Mamalis, MD, University of Utah]