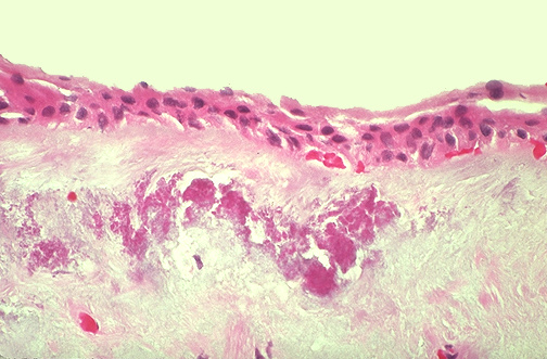
The microscopic appearance of a pterygium is shown here. Beneath the thinned conjunctival epithelium is an area of elastosis and basophilic degeneration of the substantia propria collagen. [Image contributed by Nick Mamalis, MD, University of Utah]