
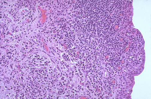
| This is the microscopic appearance of a chalazion of the eyelid. Note the intense chronic inflammation. Release of lipid from the Meibomian glands can result in a foreign body granulomatous inflammatory response. Thus, epithelioid macrophages as well as giant cells can be present. |
![]() |