
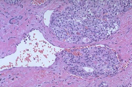
| The vascular invasion seen here is evidence for malignancy. The features of papillary carcinoma are lacking, so this is a follicular carcinoma composed of cells that are not highly pleomorphic or hyperchromatic. It can be difficult to tell a follicular carcinoma from an adenoma by histologic appearance alone, and the term "follicular neoplasm" may be utilized. Follicular carcinoma, the second most common thyroid malignancy, tends to be indolent. |
![]() |