
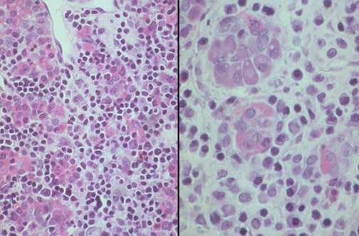
| These medium and high power microscopic views of the anterior pituitary demonstrate mononuclear inflammatory cell infiltrates with loss of acini and interstitial fibrosis. These are features of lymphocytic hypophysitis, a rare autoimmune disorder but a significant cause for hypopituitarism. |
![]() |