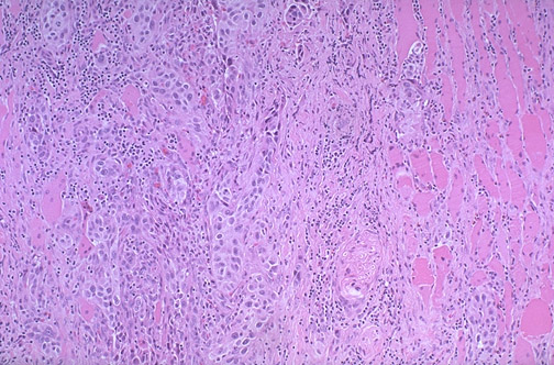
The anaplastic carcinoma shown here is invading into skeletal muscle fibers at the right. This is the most aggressive thyroid cancer, and fortunately the least common form of thyroid cancer.