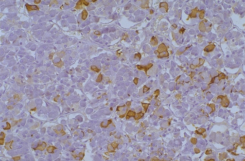
This immunohistochemical stain with antibody to prolactin identifies the specific acidophils in the anterior pituitary that secrete prolactin. Note that they are scattered about amongst other cells of the adenohypophysis.