
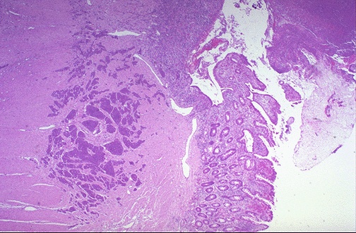
| At low magnification, the small blue nests of tumor cells in this carcinoid tumor are grouped together beneath the mucosa, but are not encapsulated and appear to "infiltrate" in the muscularis, though this is not strictly invasion. It is rare for a carcinoid <1 cm to behave in a malignant fashion, while the majority >2 cm are malignant. Most carcinoids are <1 cm. |
![]() |