
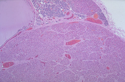
![]() | Adjacent to this parathyroid adenoma is a rim of normal parathyroid (with a pink oxyphil cell nodule) at the upper right, and a small benign parathyroid cyst (an incidental finding) is at the upper left. Patients with this form of primary hyperparathyroidism are usually diagnosed with routine chemistry panels in which a high serum calcium is noted, though some may present with renal stones, bone pain, headaches, gallstones, pancreatitis, or gastric ulcers. A parathormone (PTH) assay reveals a high normal to elevated level of PTH. |
![]() |