
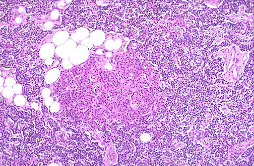
![]() | In parathyroid hyperplasia, there is little or no adipose tissue, but any or all cell types normally found in a parathyroid gland are present. Note the pink oxyphil cells in the nodule seen here. This is actually "secondary hyperparathyroidism" with enlarged glands as a consequence of chronic renal failure with impaired phosphate excretion. The increased serum phosphate tends to drive serum calcium down, which in turn drives the parathyroids to secrete more parathormone. |
![]() |