
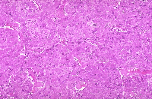
| Microscopically, a pheochromocytoma is composed of large cells that have pink to mauve cytoplasm and are arranged in nests with capillaries in between. Remember 10% when you think of a pheochromocytoma: 10% are bilateral, 10% are in children, 10% are malignant, 10% are extra-adrenal. |
![]() |