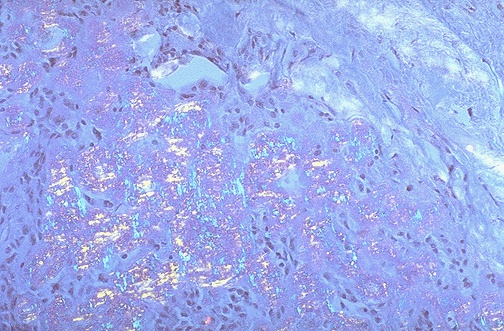
This is the Congo red stained amyloid stroma of the medullary carcinoma under polarized light, which produces a pale greenish appearance.