
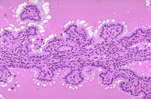
| Shown at high power, the tall columnar thyroid epithelium with Graves disease lines the hyperplastic infoldings into the colloid. Note the clear vacuoles in the colloid next to the epithelium where the increased activity of the epithelium to produce increased thyroid hormone has led to scalloping out of the colloid in the follicle. |
![]() |