
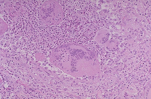
| This is subacute granulomatous thyroiditis (DeQuervain disease), which probably follows a viral infection and leads to a painful enlarged thyroid. This disease is usually self-limited over weeks to months, with transient hyperthyroidism and/or hypothyroidism, and affected patients return to a euthyroid state. Note the presence of large foreign body giant cells with inflammatory destruction of thyroid follicles. |
![]() |