
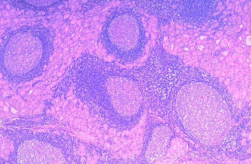
| This low power microscopic view of a thyroid with an early stage of Hashimoto thyroiditis shows prominent lymphoid follicles. This is an autoimmune disease, and often antithyroglobulin and antimicrosomal (thyroid peroxidase) antibodies can be detected in serum. Other autoimmune diseases such as Addison disease or pernicious anemia may also be present. Both thyroid growth immunoglobulins (TGI) and thyroid stimulating immunoglobulins (TSI) are present, though blocking antibodies to TSI mitigate their effect. |
![]() |