
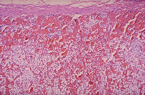
| This is the microscopic appearance of the adrenal cortex with the Waterhouse-Friderichsen syndrome from meningococcemia (Neisseria meningitidis infection). There is marked hemorrhagic necrosis of the adrenal cortex that leads to acute adrenal insufficiency (acute Addisonian crisis). |
![]() |