
![]() | The circumscribed mass lesion present here in the sella turcica is a pituitary adenoma. Though pituitary adenomas are benign, they can produce problems either from a mass effect (usually visual problems from pressing on the optic chiasm and/or headaches) or from production of hormones such as prolactin or ACTH. |

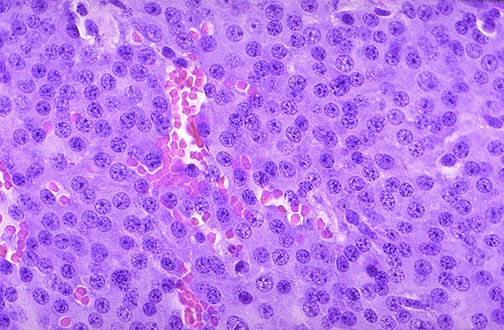
| The microscopic appearance of the pituitary adenoma is shown here. Note the monotonous appearance of these small round cells. |
![]() |