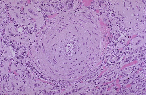
The second form of arteriolosclerosis is shown here. The arteriole here has an "onion skin" appearance typical of hyperplastic arteriolosclerosis. This lesion is most often associated with malignant hypertension.