
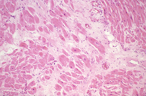
| Another pattern of ischemic heart disease is illustrated here, with scattered microscopic foci of myocardial fiber loss and interstitial fibrosis. The end result of this chronic ischemia is a gross and microscopic appearance similar to a cardiomyopathy. There is significant coronary artery narrowing, but no sudden severe ischemic event occurs, rather a slower loss of fibers over the years. Hence, the term "ischemic cardiomyopathy" is sometimes used to describe this condition. In a true cardiomyopathy, there is typically no more than minimal coronary atherosclerosis. |
![]() |