
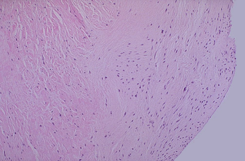
| There is plaque-like fibrous endocardial thickening at the right overlying the myocardium at the left. This may be seen in the right heart endocardium and valve leaflets with the rare carcinoid syndrome, as a consequence of secretion of bioactive substances such as serotonin (measured by its metabolite 5-hydroxy-indoleacetic acid, or 5-HIAA). This same pattern can appear in the left heart in patients taking the drug dexfenfluramine (part of the "phen-fen" combination for weight loss), which increases serotonergic activity. |
![]() |