
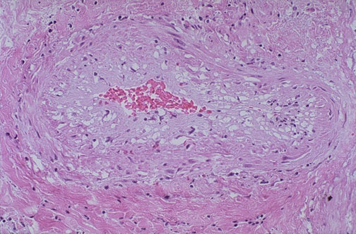
| A rate-limiting step to long-term survival in heart transplant patients is coronary arteriopathy, which is marked intimal proliferation with lumenal narrowing of the small epicardial and intramyocardial coronary artery branches, leading to ischemic changes. |
![]() |