
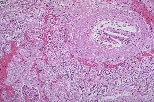
| Despite the frequency of aortic atherosclerosis, cholesterol emboli are rare, or at least clinically insignficant most of the time. Seen here in a renal artery branch are cholesterol clefts of such an embolus. This patient had severe ulcerative, friable atheromatous plaques and had undergone angiography, which increases the risk for such emboli. |
![]() |