
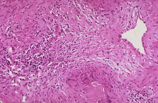
| Giant cell (temporal) arteritis is uncommon before age 50. The sedimentation rate is often markedly elevated (100 mm/hr or more). Half of patients have polymyalgia rheumatica. The focal granulomatous inflammation with narrowed arterial lumen is seen here at high magnification. |
![]() |