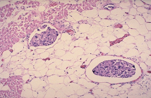
Microscopically, the epicardial fat here has dilated lymphatic spaces that contain nests of
metastatic carcinoma
. The most common metastases to heart include primary sites closest to the heart: lung, breast, esophagus.