
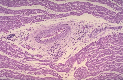
| Microscopically, acute rheumatic carditis is marked by a peculiar form of granulomatous inflammation with so-called "Aschoff nodules" seen best in myocardium, as shown here. These Aschoff nodules are centered in interstitium around vessels, as shown here. The myocarditis may be severe enough to cause congestive heart failure. |
![]() |