
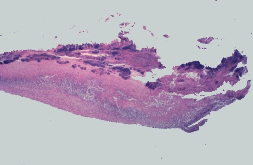
| Microscopically, the valve in infective endocarditis shows friable vegetations of fibrin and platelets (pink) mixed with inflammatory cells and bacterial colonies (blue). The friability explains how portions of the vegetation can break off and embolize. |
![]() |