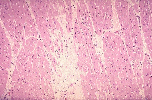
There is pale white collagen within the interstitium between myocardial fibers. This represents an area of remote infarction.