
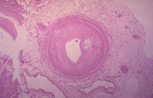
| This distal portion of coronary artery shows significant lumenal narrowing. Such distal involvement is typical of severe coronary atherosclerosis, such as can develop with diabetes mellitus or with familial hypercholesterolemia. This would make a coronary bypass operation difficult. |
![]() |