
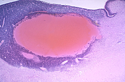
| The microscopic appearance of a germinal matrix hemorrhage is shown here. The germinal matrix is a highly cellular and highly vascular region from which cells migrate out during brain development, mainly between 22 and 30 weeks gestation. This area is highly vulnerable to birth injury and changes in blood pressure following birth. If severe and if survival occurs, the hemorrhage may organize and lead to obstructive hydrocephalus. |
![]() |