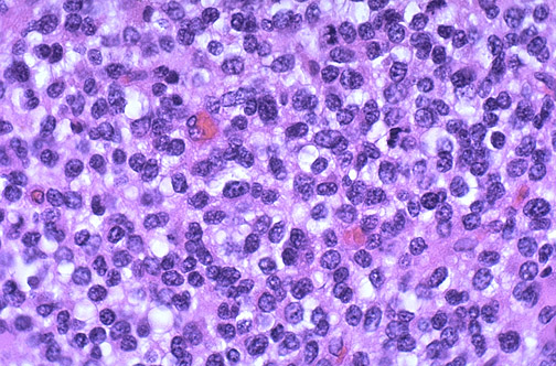
The oligodendroglioma shown here as round blue cells with clear cytoplasm. This type of glioma tends to be well circumscribed, with cystic areas and focal calcification.